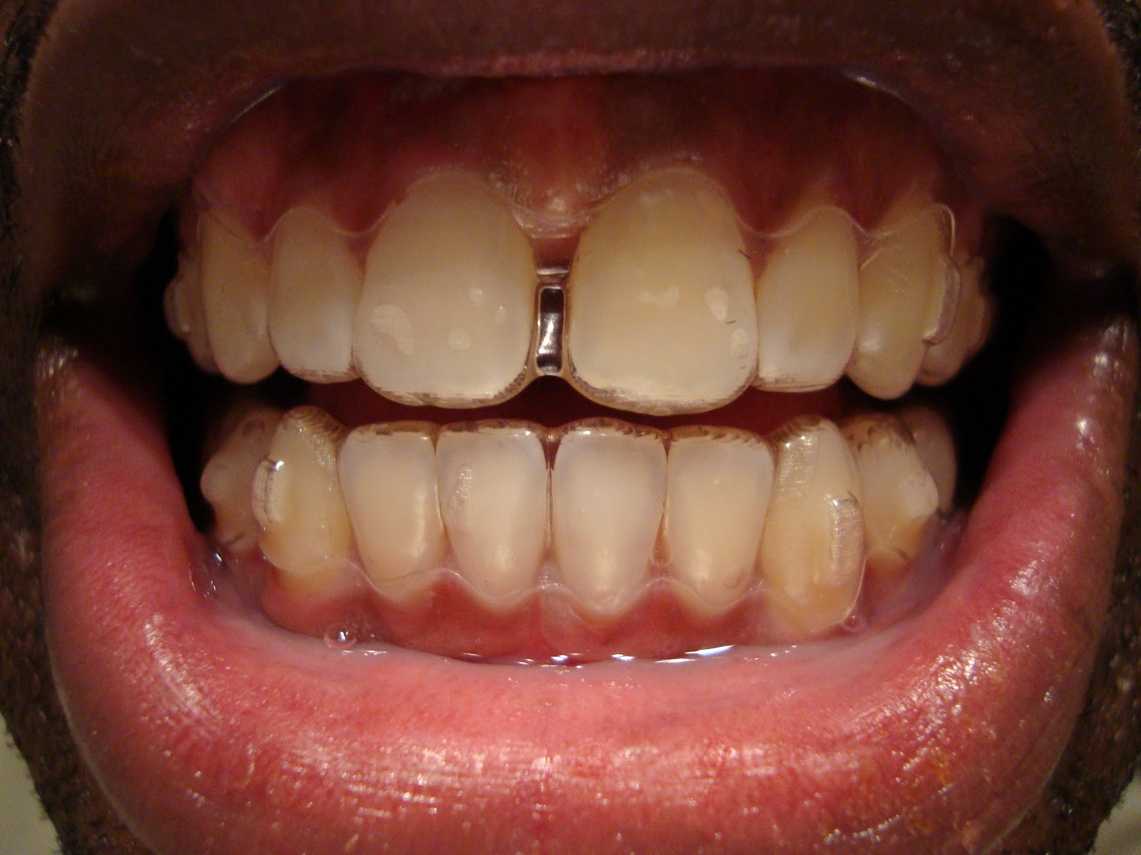
tray 21
Today is 3 December 2010 and I am wearing my new 21st Invisalign tray. I immediately felt the tightness as usual. I'm basically in the stages were u really begin to notice the ''magic'' happen with my teeth. Now its 21 out of 31 left for the upper teeth, and 21 0ut of 26 left for the bottom teeth.. I'm really hoping to complete my last payment for the invisalign treatment in January. So far it has really turned out to be a good investment and I would recommend it for anyone. My next appointment will be on 18 January, ok here are the pics.
looking really good!
ReplyDeletethanks, i looked at your blog also, looks like our teeth were similar
ReplyDelete